Hope on the Horizon: Researcher Discovers Treatable Subgroup in Rare Infant Brain Tumors
In a groundbreaking development for pediatric oncology, Dr. Matt Clarke, a researcher affiliated with the Institute of Cancer Research (ICR) in London and a Keele University alumnus, has helped identify a specific subgroup of high-grade gliomas in infants that responds dramatically to existing targeted drugs
Kyllo
1/6/2026


Hope on the Horizon: Researcher Discovers Treatable Subgroup in Rare Infant Brain Tumors
In a groundbreaking development for pediatric oncology, Dr. Matt Clarke, a researcher affiliated with the Institute of Cancer Research (ICR) in London and a Keele University alumnus, has helped identify a specific subgroup of high-grade gliomas in infants that responds dramatically to existing targeted drugs. Announced in late 2025, this discovery transforms what was once a terminal diagnosis for many babies under one year old into a potentially curable condition, sparing them the harsh effects of traditional chemotherapy and radiation.
A Devastating Diagnosis Turned Hopeful
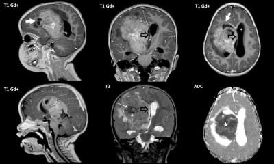
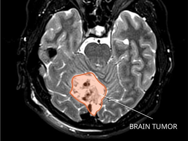
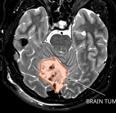
High-grade gliomas are aggressive brain tumors that can strike at any age, but in infants, they have historically carried a grim prognosis—often limiting life expectancy to just two years or less. These tumors grow rapidly in the developing brain, causing symptoms like irritability, vomiting, enlarged head size, and developmental delays.
For decades, treatment relied on intensive chemotherapy and radiotherapy, which, while sometimes extending life, often caused severe long-term damage to a baby’s fragile brain—impairing cognition, growth, and quality of life.
Dr. Clarke’s research, part of an international collaboration, pinpointed a molecular subgroup of these tumors occurring exclusively in infants under 12 months. This subgroup features distinct genetic markers that make the cancer cells vulnerable to already-approved targeted therapies—drugs originally developed for other cancers.
“To be able to identify a group of tumors that previously would’ve sadly had a terminal prognosis, where we can now have a treatment that can actually make a difference and ensure these children can survive, is a massive step forward,” Dr. Clarke told reporters.
The breakthrough has already led to “many different success stories,” with infants achieving long-term survival and celebrating milestones like birthdays year after year.




Behind the Science
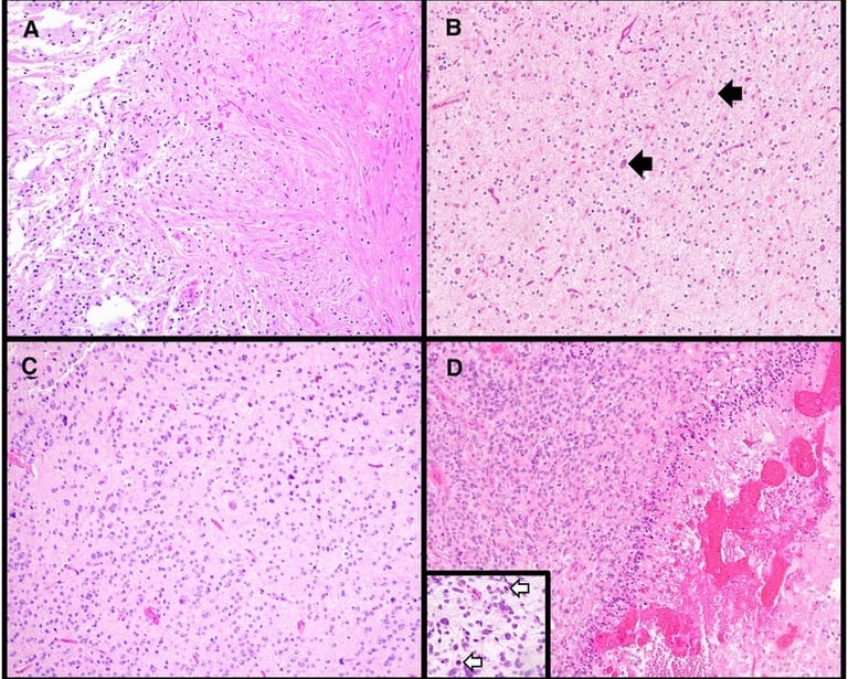
The study, contributing to a new chapter in the World Health Organization’s classification of brain tumors, involved detailed genomic analysis of infant gliomas. Researchers found that this subgroup lacks the aggressive features seen in older children and adults, responding instead to precision medicines that block specific cancer-driving pathways.
Importantly, these targeted drugs avoid the broad toxicity of chemo and radiation, preserving brain development and reducing side effects. This shift represents a paradigm change: from blunt-force treatments to tailored therapies based on tumor biology.
Ongoing Challenges and Future Promise
While this discovery offers profound hope for a subset of infants, experts caution that not all pediatric brain tumors share these characteristics. High-grade gliomas in older children remain challenging, and other rare infant tumors like atypical teratoid/rhabdoid tumors (AT/RT) or diffuse intrinsic pontine gliomas (DIPG) still lack cures.
Dr. Clarke emphasized that “there’s still a lot of work to be done,” highlighting the need for continued research into other subgroups.
This advance underscores the power of molecular profiling in pediatric cancer. By classifying tumors not just by location or appearance, but by their genetic makeup, researchers are unlocking personalized treatments that improve survival while minimizing harm.
For families facing a rare brain cancer diagnosis in their baby, Dr. Clarke’s work is a beacon of hope—proving that dedicated science can turn the tide against even the most daunting childhood diseases.
News
Stay updated with the latest news headlines daily.
© 2024. All rights reserved.


